Rekonstrukce chrupu s důrazem na funkci i estetiku
Protetika je často klíčem k návratu ke komfortnímu žvýkání, srozumitelné řeči a přirozenému úsměvu.
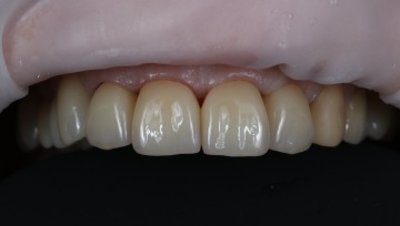
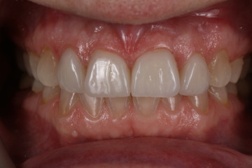
Věnujeme se celému spektru protetických řešení – od jednotlivých korunek až po komplexní rekonstrukce chrupu.
Každý návrh tvoříme na míru: s ohledem na individuální potřeby, aktuální stav chrupu, estetická očekávání i dlouhodobou udržitelnost.
Co nabízíme:
Důraz na detail a týmovou spolupráci
Spolupracujeme s ověřenými zubními laboratořemi i dentální hygienou.
U složitějších případů pečlivě plánujeme léčbu po fázích – tak, aby výsledek odpovídal nejen funkčním, ale i estetickým nárokům pacienta.
Jsme zvyklí plnit vysoké standardy našich klientů a každé řešení navrhujeme tak, aby splňovalo jejich individuální očekávání.
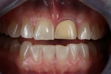
Provizorní řešení? Samozřejmost.
Dbáme na to, aby nikdo neodcházel z ordinace bez zubů. I v přechodné fázi léčby vždy nabídneme provizorní řešení, které respektuje nejen základní funkci, ale i estetiku.
Víme, že neúplný chrup může ovlivnit sebedůvěru i vnímání okolí.











