Individuální přístup a dlouhodobé řešení
Ztráta zubu dnes neznamená ztrátu funkce ani estetiky.
Moderní implantologie umožňuje bezpečně a esteticky nahradit jednotlivé zuby i celé úseky chrupu – s maximálním komfortem a přirozeným vzhledem.
Každého pacienta vnímáme individuálně.
Při plánování implantátu zohledňujeme celkový zdravotní stav, specifika ústní dutiny, kvalitu kosti i estetická očekávání.
Cílem není jen funkční náhrada, ale přirozený výsledek, který odpovídá vaší osobnosti.
Co nabízíme:
Co je to zubní implantát?
Implantát je náhradou zubního kořene, je titanovým nebo keramickým čepem, který se zavádí přímo do čelistní kosti. Na implantát se následně nasazuje protetické řešení, například korunka, můstek nebo snímatelná náhrada.
Součástí systému je také spojovací prvek, tzv. abutment, který propojuje implantát s protetickou nadstavbou. Implantáty se vyrábějí z hypoalergenních materiálů (nejčastěji titanu nebo keramiky) a při správné péči mohou sloužit desítky let.

Výhody zubního implantátu
Proces zavedení implantátů
01
Vstupní vyšetření
Každá implantologická léčba začíná pečlivým klinickým vyšetřením a 3D RTG (CBCT) diagnostikou.
Na základě získaných dat navrhujeme individuální léčebný plán, který vychází z anatomie, funkce a dlouhodobé stability budoucího řešení.
Při volbě konkrétního postupu zohledňujeme nejen klinický nález, ale také Vaše očekávání a potřeby.
02
Aplikace implantátu
Zavedení implantátu probíhá v lokální anestezii při šetrném chirurgickém výkonu.
Návrat k běžnému režimu je obvykle možný ihned nebo během několika dnů po zákroku.
Implantát vytváří pevný a stabilní základ pro dlouhodobé zubní řešení.
03
Hojení
Po zavedení implantátu následuje fáze hojení, během které dochází k postupnému pevnému spojení implantátu s kostí (osseointegrace).
Cílem této fáze je vytvoření stabilního základu pro další kroky léčby.
04
Kontrola po 7 dnech
Přibližně týden po zákroku probíhá kontrolní návštěva, při které sledujeme průběh hojení a celkový stav ošetřené oblasti.
05
Definitivní zubní řešení
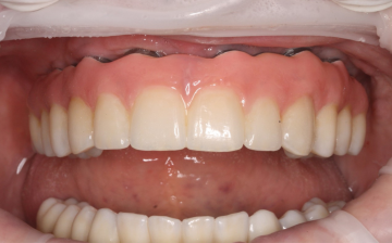
Po ukončení hojení následuje zhotovení definitivního zubního řešení – nejčastěji ve formě korunky, můstku nebo snímatelné náhrady na implantátech.
Každé řešení je navrženo individuálně, s důrazem na funkci, estetiku a dlouhodobou stabilitu.

Preciznost, bezpečnost, kvalita
Používáme výhradně certifikované implantologické systémy (Straumann/Dentis) a spolupracujeme s ověřenými laboratořemi.
Výkony provádíme v lokální anestezii a za přísných hygienických a chirurgických standardů. K přesné diagnostice využíváme 3D RTG (CBCT), díky kterému můžeme naplánovat zákrok s maximální přesností.
Cena zákroku
Implantát Dentis (včetně zavedení)
od 15 975 Kč
Implantát Straumann (včetně zavedení)
od 23 985 Kč


